Gastroenterology, GI Surgery & Liver Diseases
Learn about the latest advances in inflammatory bowel disease (IBD) and advanced endoscopic procedures from the experts of the Dr. Henry D. Janowitz Division of Gastroenterology at Mount Sinai. Ever since Mount Sinai physician Burrill Crohn, MD, and colleagues described the condition now known as Crohn’s disease, Mount Sinai gastroenterologists have been on the cutting edge of diagnosing and treating IBD and other gastrointestinal disorders. Bruce Sands, MD, MS is the Chief of the Division of Gastroenterology and Director of the Digestive Disease Institute. A longtime advocate for the continued translational research in Crohn's disease and ulcerative colitis, Dr. Sands is widely recognized for his innovative treatment of IBD and for his clinical investigations of new therapeutics. Our Susan and Leonard Feinstein IBD Clinical Center, led by Jean-Frederic Colombel, MD, and Marla Dubinsky, MD, is at the forefront of research into the causes of IBD and leads the field in clinical trials that have advanced patient care. Additionally, at our Center for Advanced Colonoscopy and Therapeutic Endoscopy at Sinai (CACTES), our physicians are pioneering new tools and techniques to identify, diagnose, and treat the most complex digestive disorders.
The Mount Sinai Hospital is ranked No. 5 in the nation for Gastroenterology and GI Surgery by U.S. News & World Report® for 2025-26.
Learn about the latest advances in inflammatory bowel disease (IBD) and advanced endoscopic procedures from the experts of the Dr. Henry D. Janowitz Division of Gastroenterology at Mount Sinai. Ever since Mount Sinai physician Burrill Crohn, MD, and colleagues described the condition now known as Crohn’s disease, Mount Sinai gastroenterologists have been on the cutting edge of diagnosing and treating IBD and other gastrointestinal disorders. Bruce Sands, MD, MS is the Chief of the Division of Gastroenterology and Director of the Digestive Disease Institute. A longtime advocate for the continued translational research in Crohn's disease and ulcerative colitis, Dr. Sands is widely recognized for his innovative treatment of IBD and for his clinical investigations of new therapeutics. Our Susan and Leonard Feinstein IBD Clinical Center, led by Jean-Frederic Colombel, MD, and Marla Dubinsky, MD, is at the forefront of research into the causes of IBD and leads the field in clinical trials that have advanced patient care. Additionally, at our Center for Advanced Colonoscopy and Therapeutic Endoscopy at Sinai (CACTES), our physicians are pioneering new tools and techniques to identify, diagnose, and treat the most complex digestive disorders.
The Mount Sinai Hospital is ranked No. 5 in the nation for Gastroenterology and GI Surgery by U.S. News & World Report® for 2025-26.
Latest Content |view more
A Breakthrough UC Drug Is Approved Following a Rigorous Mount Sinai-Led Trial
The U.S. Food and Drug Administration has approved mirikizumab as a treatment for ulcerative colitis (UC) based on a pair of groundbreaking trials led by Mount Sinai’s gastroenterology team.
Obesity Drugs Among Those Being Examined for Efficacy Against NASH
Newly popular obesity drugs like Ozempic® and Wegovy® are among several undergoing clinical trials at Mount Sinai for nonalcoholic steatohepatitis, or NASH.
New IL-23 Inhibitors Expand Treatment Options for Crohn’s Disease
The U.S. Food and Drug Administration has approved two new medications for Crohn’s disease, following the results of successful multisite clinical trials conducted in part at the Icahn School of Medicine at Mount Sinai. The therapies, ...
Same-Day Discharge of Colorectal Surgery Patients Is Gradually Taking Shape at Mount Sinai
A rigorous protocol that Mount Sinai colorectal surgeons have methodically developed is showing highly encouraging results that generally support the feasibility and safety of same-day colorectal surgery discharge in a carefully controlled environment.
Exploring the Link Between Microplastic Exposure and IBD
Microplastics are ubiquitous in our daily lives: in packing materials, clothing, personal care products, even tire dust on the streets. Thanks in large part to plastic containers and packaging for food and drink, ingestion is the main ...
New Celiac Disease Program Excels at Patient-Centered Care
At Mount Sinai's new Celiac Disease Program, patients can meet with a gastroenterologist, GI nutrition physician, health psychologist, and dietitian specializing in celiac disease. That integrated approach ensures patients’ clinical, dietary, ...
Monitoring IBD Through Wearable Devices Shows Great Promise in Several New Studies
A Mount Sinai team of gastroenterologists is exploring the use of wearable devices, such as the Apple Watch, Fitbit, and Oura Ring, in the realm of inflammatory bowel disease (IBD), where unpredictable and frequent flares have made disease ...
A Gastroenterologist Knows No Limits in Growing His Professional World
Brijen Shah, MD who became a board member of the American Gastroenterological Association (AGA) in June 2025, is truly a doctor without borders. His career has played out at the intersection of gastroenterology with geriatrics, medical ...
Researchers Stress Need for Data Disaggregation to Unmask Cancer Disparities Among Asians
Mount Sinai researchers are working to understand disparities among different populations of Asian Americans to overcome an important shortcoming of pan-ethnic screening programs in the United States that ignore the prevalence of gastrointestinal ...
Helping Gastroenterologists Navigate the Challenging New World of AI
A Mount Sinai researcher is leading efforts to apply artificial intelligence to gastroenterology, focusing on improving cancer screening through extracting and structuring information in the electronic health record.
GLP-1 Medications: Reimagining the Treatment Paradigm for Severe Crohn’s Disease
Glucagon-like peptide-1 (GLP-1) agonists, the increasingly popular class of drugs for treating diabetes and obesity, may have a role to play in promoting gut healing in patients with Crohn's disease, Mount Sinai researchers believe.
Getting Ahead of Crohn’s Disease
The PROMISE Consortium is redefining Crohn’s disease care by identifying early biomarkers through multi-omic, microbiome, and immune system research—shifting the focus from treatment to prediction and prevention.
A Gastroenterology Fellowship at Mount Sinai Is a Ticket to Multiple Fields of Scholarly Pursuit
The Mount Sinai Hospital's gastroenterology fellowship program includes substantial time dedicated to scholarship, giving students the flexibility to pursue original research or to develop their interest, skills, and knowledge in other ...
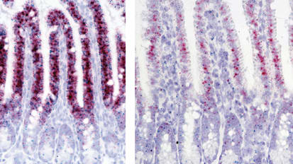
New study shows that dysfunction of protective immune cells in GI tract may contribute to onset of inflammation in Crohn’s disease
Gastroenterology and GI Surgery 2025
Scroll down for a list of practices and locations for the Dr. Henry D. Janowitz Division of Gastroenterology, and Colon and Rectal Surgery
A Multipronged Approach to IBD
This report focuses on the many ways Mount Sinai can help patients with inflammatory bowel disease.
Researchers Are a Step Closer to Understanding How a Highly Successful IBD Drug Works
A multi-target stool-based DNA test for colorectal cancer that has become commercially popular offers promise as a complement to colonoscopic evaluations for patients with ulcerative colitis (UC) and Crohn’s disease (CD). The study was ...
Changing the Paradigm of IBD Care for Women Considering Motherhood
Mount Sinai is launching an ambitious study to provide accurate and high-quality data to counsel inflammatory bowel disease (IBD) patients on the impact that factors such as surgery, medications, and disease activity might have on their ability to conceive.
Exploring the Disparities and Barriers Around Colorectal and Liver Cancer Screening
A new Mount Sinai program focuses on health equity initiatives within the divisions of Gastroenterology and Liver Diseases. It will include a focus on disparities in colorectal and liver cancer screening and a new dashboard to track health equity in the field.
Mount Sinai Study Finds Wearable Devices Can Detect and Predict Inflammatory Bowel Disease Flare-Ups
Data collected by wearable technology can identify disease flare-ups up to seven weeks in advance.
Protein Identified as Potential New Target for Treating Cholangiocarcinoma
A Mount Sinai researcher discovered that many patients with cholangiocarcinoma exhibit a highly elevated expression of B7-H4, a transmembrane protein that inhibits T cell immunity. This could offer a new immunotherapy target for bile duct ...
First-in-Class Therapy for Ulcerative Colitis Proves Effective in Clinical Trial
Tulisokibart, a monoclonal antibody designed specifically to bind to TL1A, a protein involved in the inflammatory process of ulcerative colitis, proved safe and effective in a phase 2 trial involving patients who had failed other therapies. ...
A Novel Behavioral Approach to IBD Management Will Come Under the Scientific Spotlight
Mount Sinai is introducing a program for Crohn's disease patients that joins traditional biologic therapy with a finely tuned program of brain-gut behavior therapy focused on building resilience in patients intent on controlling their disease.
Researchers Are a Step Closer to Understanding How a Highly Successful IBD Drug Works
Vedolizumab, a mainstay drug for managing ulcerative colitis, appears to work by targeting gut-associated lymphoid tissue, a new Mount Sinai study suggests.
Advanced Technique for Low Rectal Tumors is Found Safe and Effective in a New Studay
A timely new study led by Mount Sinai promises to raise the profile for an advanced surgical technique known as transanal total mesorectal excision, which can eradicate rectal tumors that threaten the anal sphincter while preserving sphincter ...
Mount Sinai study identifies genetic link between inflammatory bowel disease and Parkinson’s disease
Researchers at the Icahn School of Medicine at Mount Sinai have made a significant discovery, identifying genetic connections between inflammatory bowel disease (IBD) and Parkinson’s disease (PD). Published in Genome Medicine (DOI 10.1186/s13073-024-01335-2) ...
A Program of Cutting-Edge Nutrition Care Wards Off Malnutrition in IBD Patients
A first-of-its-kind Mount Sinai program known as iNourish offers a full range of nutrition-focused clinical and research initiatives to support individuals with Crohn’s disease and ulcerative colitis. This platform includes a dedicated ...
Detecting Cancer in IBD Patients Through Stool-Based DNA Testing
A multi-target stool-based DNA test for colorectal cancer that has become commercially popular offers promise as a complement to colonoscopic evaluations for patients with ulcerative colitis (UC) and Crohn’s disease (CD). The study was ...
Study identifies key pathways underlying perianal fistula, a complication that is more prevalent and severe in African American populations.
Skin Tapes May Be a Game Changer for IBD
Mount Sinai researchers are pioneering the use of non-invasive stickers placed on the skin to give the equivalent of a skin biopsy for pediatric patients suspected of having inflammatory bowel disease. The skin cells retrieved by the tapes ...
The increasing use of biologic agents for chronic treatment of Crohn’s disease and ulcerative colitis has meant that corticosteroids are typically reserved for use during flares. The intermittent use of these efficacious therapies has ...
Gastroenterology and GI Surgery 2024
List of practices and locations for the Dr. Henry D. Janowitz Division of Gastroenterology, and Colon and Rectal Surgery.
Expertise That Spans the Specialty
This year’s report illustrates not only the depth but also the breadth of the expertise to be found at the Mount Sinai Health System’s Dr. Henry D. Janowitz Division of Gastroenterology.
Mount Sinai Connects Community Doctors With a Powerful IBD Knowledge Base
A recently launched Mount Sinai Health System program brings community physicians who treat inflammatory bowel disease (IBD) patients together with the Health System's renowned IBD experts in the Dr. Henry D. Janowitz Division of Gastroenterology ...
Breast Cancer Susceptibility Genes Figure in Screening for Pancreatic Cancer
Approximately 10 percent of pancreatic ductal adenocarcinoma is due to a hereditary or genetic predisposition, including variants in the breast and ovarian cancer syndrome genes BRCA1 and BRCA2.
Creating a New Treatment Culture Around Disorders of Gut-Brain Interaction
Two recent studies at the Icahn School of Medicine at Mount Sinai urge increased attention to training physicians about disorders of gut-brain interaction, a little-understood class of functional GI diseases.
Using High-Resolution Anoscopy to Prevent Anal Cancer
Annual Pap tests for anal cancer don't always identify precancerous lesions, so a Mount Sinai surgeon partnered with medical device manufacturers to improve a high-resolution anoscopy device that would more effectively identify anal lesions.
A Motility Center of Excellence Draws Cases From Across the Region
Mount Sinai's Center for Gastrointestinal Physiology and Motility is the largest center of its type in New York City and one of a handful in the country offering advanced diagnostics and treatment for patients with often-complex motility disorders.
The Icahn School of Medicine at Mount Sinai has been awarded a grant of more than $4 million from The Leona M. and Harry B. Helmsley Charitable Trust to support an innovative research project aimed at understanding the early stages of ...
The Different Face of Liver Cancer in Underserved Minority Populations
African Americans are less likely to have cirrhosis at the time of liver cancer diagnosis, but are more likely to have larger tumors.
Researchers Reveal the Risk of Liver Damage in WTC General Responders
The odds of having moderate-to-severe hepatic steatosis, a component of nonalcoholic fatty liver disease, are more than three times higher among World Trade Center first responders than in a comparison group of nonresponders, a new Mount Sinai study has shown.
Marla C. Dubinsky, MD, Wins the Prestigious Sherman Prize
Marla C. Dubinsky, MD, Professor of Pediatrics, and Medicine (Gastroenterology), at the Icahn School of Medicine at Mount Sinai and Chief of the Division of Pediatric Gastroenterology at Mount Sinai Kravis Children’s Hospital, is a winner ...
Mount Sinai Researcher Uncovers Molecular Secrets of Cholangiocarcinoma
In the United States, cholangiocarcinoma, or bile duct cancer, is relatively rare, although its incidence is growing for reasons experts have yet to identify. Because of its rarity, research into it has been scarce. But a Mount Sinai researcher ...
Researchers Advance a New Model for How Scarring Occurs in Liver Fibrosis
Mount Sinai researchers have discovered a dense network of cell-to-cell signaling that emerges in advanced fibrosis.
Ileocecal Resection as First-Line Treatment: A Paradigm Shift for Crohn’s Disease
Patients with Crohn’s disease have traditionally been treated with anti-tumor necrosis factor therapy, such as infliximab.
Join Us for the First Annual Mount Sinai MASLD/MASH (NAFLD/NASH) Center of Excellence Symposium
You are invited to join world-class MASLD/MASH (NAFLD/NASH) experts from the Icahn School of Medicine at Mount Sinai, Harvard Medical School, University of Chicago School of Medicine, and Arizona Liver Health as they discuss the most recent ...
Liver Disease Not Seen as Risk for In Vitro Fertilization Patients
Women with liver disease who underwent standard in vitro fertilization treatment showed no statistically significant differences in the rates of conception, pregnancy loss, or live births compared to women without liver disease...
First Oral Medication to Treat Moderate-to-Severe Crohn’s Disease Earns FDA Approval
Upadacitinib, the first oral treatment for Crohn's disease, has been approved by the Food and Drug Administration. The approval came in part through a Mount Sinai-led clinical trial that showed it to be more efficacious than placebo.
Mount Sinai Helps Set the Standards For Hep B Screening and Vaccination Worldwide
Mount Sinai Health System is leading the fight against hepatitis B, having launched a universal screening and vaccination campaign across New York City in the fall of 2022, while heading up the development of a bold new set of guidelines ...
Course
Mount Sinai IBD Course for Ukraine
In war-torn Ukraine, doctors are struggling to deliver quality care to the sick and are unable to travel for educational opportunities due to war-time restrictions. Jean-Frederic Colombel, MD and his team, determined to find ways to help ...
Mount Sinai Brings Patient-Centric Intestinal Ultrasound to North America
Mount Sinai is the first adult and pediatric inflammatory bowel disease center in the United States certified to use intestinal ultrasound for patient care and research.
Best Practices for Bariatric Surgery on Teenage Patients
Brian Coakley, MD, an adolescent bariatric surgeon at Mount Sinai Health System, answers commonly asked questions about the procedure in adolescents.
Stem Cell Transplants Prove Effective for Patients With Severe Crohn’s Disease
A clinical study of autologous stem cell transplantation for severe Crohn's disease is offering the sickest of patients a transformative therapy that is achieving remarkable early results in this group for whom nothing in the past has worked.
Targeting New York’s Vast Hepatitis B Population With Universal Testing and Vaccination
Mount Sinai has launched a system of digital alerts that appear on the screens of primary care physicians when a patient in their offices is a candidate for testing, vaccination, or treatment for hepatitis B.
NASH Center of Excellence Wins Grants for Two Initiatives
Two new grants from Pfizer will help Mount Sinai educate primary care providers on how to identify at-risk patients and address inequities in diagnosis and care of nonalcoholic steatohepatitis.
Targeting Disease Prediction and Prevention: The New Frontier in IBD
Mount Sinai researchers have found strong evidence that before the first symptoms of Crohn’s disease and ulcerative colitis occur, there’s a preclinical phase in which immune and inflammatory pathways are already altered.
Aggressive Surveillance Paves the Way for Early Detection of Pancreatic Cancer
Recent studies underscore the benefit of high-risk pancreatic surveillance programs that have helped push three-year survival rates as high as 85 percent in some cases, in large part by catching a higher proportion of malignant lesions ...
Mount Sinai Researchers Start to Unravel B Cell Dysregulation in Ulcerative Colitis
Mount Sinai-led researchers have discovered for the first time a highly dysregulated B cell response in ulcerative colitis that opens the door to potential new biomarkers and therapeutic strategies for it as well as other types of inflammatory bowel disease.
New Interim Head of Colorectal Surgery Is a Pioneer in Treating Rectal Tumors
Patricia Sylla, MD, was recently named Interim Chief of the Division of Colorectal Surgery at Mount Sinai Health System.
Leaving an Imprint on Two Decades of Gastroenterology Fellows
Steven Itzkowitz, MD, stepped down in July 2022 after 23 years as Mount Sinai's Gastroenterology Fellowship Program Director.
New Head-to-Head Trial of Major Biologics Is an Eye-Opener for Crohn’s Disease Therapy
A head-to-head randomized controlled trial found similar remission rates for two leading biologic therapies for Crohn's disease: ustekinumab and adalimumab.
Gastroenterology, GI Surgery and Liver Diseases Specialty Report 2023
In this report, you’ll learn about our discovery that Crohn’s disease and ulcerative colitis have a years-long preclinical phase in which immune and inflammatory pathways are measurably altered.
Why a Colonoscopy Is the Best Way to Detect and Prevent Colon Cancer
A study published last September in the New England Journal of Medicine appeared to question the benefits of colonoscopies. But many experts say they remain “the gold standard” to detect and prevent colon cancer.
An advanced radiotherapy technique called radiation segmentectomy may be effective against very early to early-stage hepatocellular carcinoma (HCC), a type of liver cancer that cannot be treated surgically or thermally.
Bringing Ultrasound to the Bedside to Rapidly Diagnose and Treat IBD
The Susan and Leonard Feinstein Inflammatory Bowel Disease Clinical Center at Mount Sinai is the only center in the country that is currently using ultrasound to monitor inflammation in inflammatory bowel disease patients.
Carving Out a New Care Pathway for Patients With IBD and Arthritis
A collaborative model between Gastroenterology and Rheumatology in the Department of Medicine at Mount Sinai is providing patients with IBD and arthritis a level of care few clinics in the world can offer, and researchers with a springboard ...
Providing Much-Needed Support for Women After J-Pouch Surgery
Mount Sinai Health System, which pioneered and continues to refine the technique of J-pouch surgery, has now created a Comprehensive Pouch Program to closely monitor patients after surgery, ensuring continuous, hands-on care designed to ...
Mount Sinai Introduces Two Novel Endoscopy Procedures
Mount Sinai’s interventional endoscopy team continues to lead the field in innovation with the recent introduction of two novel procedures that are dramatically advancing treatment for patients with achalasia, necrotizing pancreatitis, ...
Genetic Studies Identify New Pathways in Inflammatory Bowel Disease
Two new Mount Sinai studies have defined novel approaches for treating Crohn’s disease and ulcerative colitis (UC).
New Center of Excellence Focuses on NASH Treatment and Research
The Mount Sinai Division of Liver Diseases has built on its nationally recognized expertise in fibrosis and fibrotic pathways to create the NASH Center of Excellence, concentrating under one umbrella a rich diversity of clinical and research ...
Gender Inequities in Gastroenterology Spur Efforts for Change
While gastroenterology is historically a male-dominated field, the ranks of female professionals are growing.
Intestinal Ultrasound Ushers In New Era of IBD Treatment
Intestinal ultrasound to monitor ulcerative colitis and Crohn's disease has become the standard of care in Canada and many parts of Europe, but has never gained a foothold in the United States.
Registry Tracks How IBD Drugs Interact With COVID-19
A research database known as SECURE-IBD provides a quick and robust source of information to clinicians around the world about the use of IBD therapies like corticosteroids and the widely prescribed tumor necrosis factor (TNF) antagonists ...
Intestinal Study Yields Insights Into Persistence of SARS-CoV-2
SARS-CoV-2 has a spike protein that tethers itself to angiotensin converting enzyme 2 (ACE2) to gain entry to cells, and the intestinal tract has the highest expression of ACE2 in the body—even higher than in the lungs.
Novel Understanding of Fecal Microbiota Could Make Transplantation Safer and More Precise
Researchers used whole-genome sequencing to identify 42 species of fecal microbiota that were especially likely to engraft successfully.
Gastroenterology, GI Surgery and Liver Diseases Specialty Report 2022
Collaboration—among specialists in different disciplines, and between clinicians and bench scientists—is a hallmark of the Mount Sinai Health System and our Dr. Henry D. Janowitz Division of Gastroenterology. That approach is spotlighted ...
Cholangiocarcinoma: Bridging the Gap Between the Clinic and the Laboratory
This presentation highlights the epidemiology and current management of cholangiocarcinoma, as well as future therapeutic approaches
Jerry Waye, MD Endoscopy Conference
For the past four decades, the Jerry Waye, MD, Endoscopy Conference has featured case presentations at a weekly gathering of gastroenterology fellows and clinical staff at Mount Sinai.
COVID-19 Vaccines for IBD Patients: International Consensus
Pediatric Therapeutic Endoscopy Program at Mount Sinai
Dr. J. Antonio Quiros discusses the Pediatric Therapeutic Endoscopy Program at Mount Sinai
Joanne Lai, MD, Discusses the Pediatric Gastroenterology Program at Mount Sinai Doctors-Long Island
Joanne Lai, MD, discusses the range of pediatric gastroenterology services offered at Mount Sinai Doctors-Long Island.
Gastroenterology, GI Surgery and Liver Diseases Specialty Report 2021
We launched a database called SECURE-IBD that has already yielded the insight that TNF antagonists appear to be a low-risk IBD therapy where COVID-19 is concerned, and another study, called ICARUS, intended to explore the seroprevalence ...
The Mount Sinai Hospital Included in New Ranking of Best Specialized Hospitals from Newsweek
Gastroenterology and Mount Sinai Heart are among the specialties recognized at The Mount Sinai Hospital in Newsweek’s “The World’s Best Specialized Hospitals 2021.”
The Icahn School of Medicine at Mount Sinai was ranked No. 3 in the world in U.S. News & World Report “Best University for Gastroenterology and Hepatology.” The Seventh Annual U.S. News & World Report “Best Global Universities” rankings ...
David Dunkin, MD, Discusses Pediatric Gastroenterology Services at Mount Sinai-Brooklyn Heights
Listen as David Dunkin, MD, discusses the advanced and innovative pediatric gastroenterology care provided at Mount Sinai Doctors-Brooklyn Heights
Case Based Question & Answer Session: Liver Diseases
Case Based Question & Answer Session on Liver Pathology, Abnormal LFTs and Jaundice, Hepatitis B, Hepatitis C, Autoimmune Hepatitis, Alcoholic and Nonalcoholic Liver Disease, Cholestatic Liver Disease, Liver Tumors, Cirrhosis, Portal Hypertension ...
Deirdre J. Cohen, MD, MS, an expert in pancreatic and other gastrointestinal cancers, has joined Mount Sinai Health System as Director of the Gastrointestinal Oncology Program
The Innovation Cafe Presents Trellus Health: Transforming IBD Patient Care
The founders of Trellus Health, LLC, discuss their resiliency-driven approach to inflammatory bowel disease treatment utilizing digital tools, care coordination, and support
Advanced Endoscopy and Inflammatory Bowel Disease
Christopher DiMaio, MD, discusses advanced therapeutic endoscopic procedures that can provide an alternative to surgery for gastrointestinal conditions.
COVID-19: IBD Update From the Front Lines
A new database tracks risk factors for IBD patients who have COVID-19
COVID-19: Implications on Inflammatory Bowel Disease
COVID-19: Implications on Inflammatory Bowel Disease
The Susan and Leonard Feinstein Inflammatory Bowel Disease Clinical Center
See what makes our Susan and Leonard Feinstein Inflammatory Bowel Disease Clinical Center unique.
Colon Cancer Screening: From Molecular Genetics to Health Equity
Colon cancer screening: what to look for
Severe Acute and Necrotizing Pancreatitis: Paradigm Shifts in Management
Helping patients with pancreatitis
Study of infants born to mothers with IBD
Population analysis on IBD in Western Countries
Liver Disease |view more
Mount Sinai Helps Set a New Standard for Treating Alcohol-Related Liver Disease
Mount Sinai has become a leading site for the treatment of alcohol-related liver disease in the New York metropolitan region, and one of a handful in the country with a comprehensive center for addressing the sizable population of patients ...
Mount Sinai’s MASLD/MASH Center of Excellence Focuses on Liver Disease Science and Treatment
Raising public awareness of MASH (metabolic dysfunction-associated steatohepatitis) and its precursor condition, MASLD (metabolic dysfunction-associated steatotic liver disease), is a top priority for Mount Sinai's MASLD/MASH Center of ...
Improving MASH Treatment With Medically Tailored Meals
Researchers at the Icahn School of Medicine at Mount Sinai and collaborators are launching an innovative new program to deliver medically tailored meals to people with steatotic liver disease. The goal is to make behavioral lifestyle changes more achievable.
Probing the Power of Hepatocyte Regeneration to Treat Chronic Liver Disease
While scientists have made significant strides in detailing the mechanisms of regeneration in healthy livers, less understood is what happens in an ailing liver. In chronic diseases such as MASH, hepatocytes are less able to regenerate ...
A New Hub for Liver Research Tackles Its First Investigations
Mount Sinai's newly launched Institute for Liver Research has funded its first two pilot projects, chosen from among 11 applications submitted by basic, translational, or clinical research teams, and awarded one-year grants of $30,000 ...
Transplant Hepatology Fellowship Program Among Largest of Its Kind
The Mount Sinai Hospital's Transplant Hepatology Fellowship, the first of its kind in the Northeast to be approved by the ACGME, produces fellows who are consistently hired by their top-choice institutions—or who go back to their home ...
Immunotherapies for Hepatocellular Carcinoma at Mount Sinai
Managing Hepatocellular Carcinoma in the age of precision oncology
At the Mount Sinai Health System, our hepatologists have been at the forefront of groundbreaking advances in the detection and treatment of liver diseases for more than half a century.
Cancer, MASH, and Ensuring Health Equity
This report includes updates on screening for and treating cancer, raising public awareness for metabolic dysfunction-associated steatohepatitis (MASH), and ensuring health equity at Mount Sinai's Division of Liver Diseases.
B Vitamins in Pregnancy May Help Ward Off Liver Toxicity From Environmental Exposures
Exposure to environmental chemicals and endocrine disruptors during pregnancy may pose significant risks to liver health for both mothers and their offspring, but treating folic acid and other B vitamin deficiencies in pregnancy may help ...
Innovative Program Seeks Patients Who Can Benefit From MASH Treatment
An innovative program is bringing together officials, community and industry leaders, and health care providers in four major U.S. cities to address the growing but still underrecognized challenge of metabolic dysfunction-associated steatohepatitis ...
Pioneer in Liver Research Turns His Focus to a New Institute
The new, multidisciplinary Mount Sinai Institute for Liver Research, backed by the breadth and depth of the Mount Sinai Health System's clinical and research strengths, aims to identify new therapeutic targets and establish novel, effective ...
Driving the Science of Blood-Based Tests For Patients With Hepatocellular Carcinoma
Mount Sinai researchers are pushing the borders of the highly promising science of early detection biomarkers through small RNA expression signatures of circulating extracellular vesicles. A new study aims to measure the impact of liquid ...
View the list below for a list of practices and locations for the Division of Liver Diseases.
Welcome to the inaugural Mount Sinai Health System Specialty Report for Liver Diseases. The publication of this report is the latest step Mount Sinai is taking to recognize and elevate the importance of hepatology as a separate specialty ...
