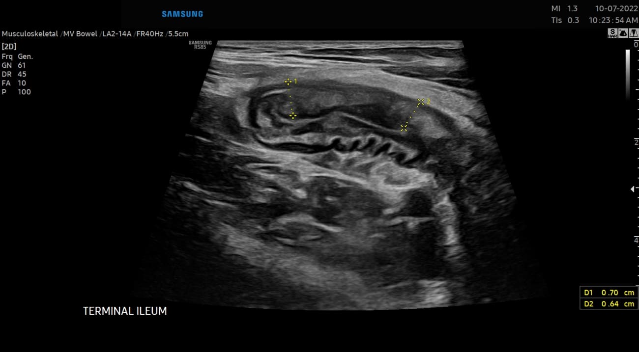
Mount Sinai Brings Patient-Centric Intestinal Ultrasound to North America
Mount Sinai is the first adult and pediatric inflammatory bowel disease center in the United States certified to use intestinal ultrasound for patient care and research. It is now launching efforts to train specialists in the technique.
