Oncology
Gain valuable insights from The Tisch Cancer Institute at Mount Sinai—a National Cancer Institute-designated cancer center and an integral part of the Icahn School of Medicine at Mount Sinai—and cancer specialists throughout the Mount Sinai Health System. Our extensive network spans cancer prevention, innovative developments in precision-medicine and immunotherapy approaches, novel treatments via clinical trials, equity in cancer care, and groundbreaking translational research.
Under the leadership of Ramon Parsons, MD, PhD, Joseph A. Sparano, MD, and Luis Isola, MD, our comprehensive cancer program is renowned for its powerful synergy between research scientists and clinicians and its multidisciplinary scope. The Mount Sinai Hospital's cancer service is ranked No. 6 in the nation by U.S. News & World Report® for 2025-26.
Gain valuable insights from The Tisch Cancer Institute at Mount Sinai—a National Cancer Institute-designated cancer center and an integral part of the Icahn School of Medicine at Mount Sinai—and cancer specialists throughout the Mount Sinai Health System. Our extensive network spans cancer prevention, innovative developments in precision-medicine and immunotherapy approaches, novel treatments via clinical trials, equity in cancer care, and groundbreaking translational research.
Under the leadership of Ramon Parsons, MD, PhD, Joseph A. Sparano, MD, and Luis Isola, MD, our comprehensive cancer program is renowned for its powerful synergy between research scientists and clinicians and its multidisciplinary scope. The Mount Sinai Hospital's cancer service is ranked No. 6 in the nation by U.S. News & World Report® for 2025-26.
Latest Content |view more
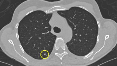
Mount Sinai’s Raja Flores, MD: New Standards in Lung Cancer Surgery
Raja Flores, MD, discusses nuanced approaches to surgical care for lung cancer, neoadjuvent chemotherapy, the role of randomized clinical trials, treatment for mesothelioma, and more
Breast Cancer Susceptibility Genes Figure in Screening for Pancreatic Cancer
Approximately 10 percent of pancreatic ductal adenocarcinoma is due to a hereditary or genetic predisposition, including variants in the breast and ovarian cancer syndrome genes BRCA1 and BRCA2.
Research Explores Dupilumab as a Weapon Against Lung Cancer
Dupilumab, a monoclonal antibody blocking interleukin-4 receptor-alpha (IL-4RAlpha), is an effective treatment for moderate to severe asthma and multiple allergic conditions. Mount Sinai researcher Thomas Marron, MD, PhD, believes it also ...
AI Speeds Search for Therapies That Fight Adenocarcinoma
Mount Sinai researchers are assessing a platform that can conduct in silico scans of millions of potential drugs each day to identify candidates for testing and validation. The goal is to facilitate the identification of safe, effective ...
With New Treatment Strategies, a Cure for Multiple Myeloma Is Now Possible
Long considered one of the most deadly and incurable cancers, multiple myeloma is now being viewed by more and more oncologists as an eminently treatable disease based on exciting new immunotherapies, including CAR T-cell therapy and bispecific antibodies.
Explore how the neural hammock transforms nerve-sparing in robotic prostate surgery
Researchers Stress Need for Data Disaggregation to Unmask Cancer Disparities Among Asians
Mount Sinai researchers are working to understand disparities among different populations of Asian Americans to overcome an important shortcoming of pan-ethnic screening programs in the United States that ignore the prevalence of gastrointestinal ...
Mount Sinai and Cancer Research Institute Team Up to Improve Patient Outcomes in Immunotherapy
New partnership aims to deepen understanding of immune response in cancer treatment
Developing a Road Map for Early Skin Cancer Detection
Mount Sinai dermatologists are accelerating their research efforts in the diagnosis of skin cancer through their leading-edge work with technologies like reflectance confocal microscopy, Vectra® total body photography, and artificial intelligence.
The 10th anniversary of Kimberly and Eric J. Waldman endowing the Waldman Chair of Dermatology in the Kimberly and Eric J. Waldman Department of Dermatology at the Icahn School of Medicine at Mount Sinai is being celebrated in 2025.
Curative Strategies for Sickle Cell Disease at Mount Sinai – Gene Therapy and Transplant
Comprehensive presentation, from pathophysiology to the latest treatments for sickle cell disease
Immunotherapies for Hepatocellular Carcinoma at Mount Sinai
Managing Hepatocellular Carcinoma in the age of precision oncology
For Cancer Patients of Reproductive Age, Fertility Preservation Is a Crucial Early Consideration
A team approach at Mount Sinai enables patients of reproductive age to consider a vital issue: preserving their fertility.
Welcome From the Director of The Tisch Cancer Institute
With this 2025 Specialty Report, we are pleased to share how we are pushing the boundaries of cancer discovery and propelling the development of novel therapies for optimal patient outcomes. With innovative thinking and access to state-of-the-art ...
The Tisch Cancer Institute 2025
The Tisch Cancer Institute (TCI), a National Cancer Institute-designated cancer center, employs a multidisciplinary approach to cancer research and treatment, with the goal of advancing clinical breakthroughs that help prevent and eradicate cancer.
Leading Mount Sinai Into a New Age of Data-Based Cancer Research
Understanding cancer mechanisms is a vast undertaking that requires expertise from various “-omic” fields to come together—genomics and proteomics, to name a few. A team led by Pei Wang, PhD, is pushing boundaries of precision targeting ...
Demystifying a Complex Mutation to Tackle Rare Cancers
By understanding how a little-known chromatin remodeling complex can become mutated, a team at Mount Sinai is on the path to uncovering better strategies for hard-to-treat lymphomas. The team received a grant award for this work and is ...
Rethinking Transplantation Technology to Uncover Cancer Mechanisms
A pair of Mount Sinai researchers has taken the science of organ transplantation to an exciting new level to reveal the metabolic landscape of a lethal liver cancer and its response to immunotherapy with a granularity never before possible.
The Role of Human Leukocyte Antigens in Reducing Lung Cancer Risk
With findings that human leukocyte antigen-II (HLA-II) heterozygosity is associated with reduced risk of developing lung cancer, with particular benefits to smokers, Mount Sinai researchers add evidence to the theory of the immune system's ...
Disproportionate Share of Asian Women Have Lung Cancer Without Smoking
The Mount Sinai Health System's Asian Thoracic Surgery Program has an urgent new mission: diagnosing, treating, and investigating a phenomenon known as never-smoking lung cancer, which disproportionately affects Asian women. A major challenge ...
Researchers Are a Step Closer to Understanding How a Highly Successful IBD Drug Works
A multi-target stool-based DNA test for colorectal cancer that has become commercially popular offers promise as a complement to colonoscopic evaluations for patients with ulcerative colitis (UC) and Crohn’s disease (CD). The study was ...
Mount Sinai Researchers Create AI Tool to Democratize Access to Cancer Immunotherapy
Researchers at The Tisch Cancer Institute at Mount Sinai, in collaboration with Memorial Sloan Kettering Cancer Center (MSK)
Cancer Immunotherapy at Mount Sinai: Progress Towards Curing the Uncurable
Mount Sinai is moving the bar on immunotherapy to improve outcomes for patients
Exploring Links Between ‘Forever Chemicals’ and Thyroid Cancer
A group of per- and polyfluoroalkyl substances (PFAS)—endocrine-disrupting chemicals commonly dubbed "forever chemicals" due to their ability to persist in the environment—has long been thought to contribute to cancer risk. A Mount Sinai ...
Mount Sinai Health System has announced the launch of its Center of Excellence for Gynecologic Cancer, which is part of The Tisch Cancer Institute.
The Role of Human Leukocyte Antigens in Reducing Lung Cancer Risk
With findings that human leukocyte antigen-II (HLA-II) heterozygosity is associated with reduced risk of developing lung cancer, with particular benefits to smokers, Mount Sinai researchers add evidence to the theory of the immune system's ...
Multidisciplinary Team Provides Specialized Care for 3-Year-Old With Wilms Tumor
A three-year-old boy from Eritrea with tuberculosis and Wilms tumor received multidisciplinary care from specialists at Mount Sinai Kravis Children's Hospital. He has been doing well after surgery and chemotherapy.
The clinics work closely with the Dubin Breast Center and the Cardio-Oncology Program, drawing on Mount Sinai’s network of specialists and resources.
Researchers Characterize the Immune Landscape in Cancer
Researchers from the Icahn School of Medicine at Mount Sinai, in collaboration with the Clinical Proteomic Tumor Analysis Consortium of the National Institutes of Health, The University of Texas MD Anderson Cancer Center, Sylvester Comprehensive ...
The Tisch Cancer Institute 2024
The Tisch Cancer Institute (TCI), a National Cancer Institute-designated cancer center, employs a multidisciplinary approach to cancer research and treatment, with the goal of advancing clinical breakthroughs that help prevent and eradicate cancer.
Probing “DNA Damage Repair Genes” to Change Outcomes for Castration-Resistant Prostate Cancer
Prostate cancer is the second leading cause of cancer death among men in the United States. For patients whose disease do not respond well to treatment, a Mount Sinai researcher is attempting to change that reality with his work on BRCA2 ...
Diving Into A Multifaceted Enzyme Pivotal to Understanding Lung Cancer
A Mount Sinai researcher is delving deep into the roles of the enzyme stearoyl coenzyme A desaturase 1 (SCD1) in cell metabolism and death. Her findings could yield new ways to target the elusive enzyme, and in turn help devise new ways ...
Uncovering the Link Between Breast Cancer and Bone Metastasis
A grant is powering a novel study of the role of fibroblast growth factor 2 in dysregulating the bone microenvironment.
Welcome from the Director of The Tisch Cancer Institute
At The Tisch Cancer Institute, we are committed to unraveling cancer behavior and biological mechanisms in order to enable development of effective therapies that are accessible to all patients and improve their lives.
Microglia Could Be The Key to Slowing Invasion and Relapse in Glioblastoma
Glioblastoma is among the deadliest cancers, and Mount Sinai researchers are making headway into uncovering mechanisms that could turn that disease around: microglia.
When Halting Myelofibrosis Progression Fails, Try Changing Its Course Instead
The decades-long research efforts of a consortium, led by Mount Sinai researchers, to deplete myelofibrosis stem cells altogether—instead of merely stopping proliferation—has received renewed funding.
The Different Face of Liver Cancer in Underserved Minority Populations
African Americans are less likely to have cirrhosis at the time of liver cancer diagnosis, but are more likely to have larger tumors.
Sickle Cell Disease: Past Present and Future - A Grand Rounds Presentation from Mount Sinai
Progress to Date and Future Directions in Treating Sickle Cell Disease
Mount Sinai Researchers Find More Than 4,700 Gene Clusters Crucial for Prognosis in 32 Cancer Types
Researchers at the Mount Sinai Center for Transformative Disease Modeling have released a groundbreaking study identifying 4,749 key gene clusters, termed “prognostic modules,” that significantly influence the progression of 32 different ...
Mount Sinai Researcher Uncovers Molecular Secrets of Cholangiocarcinoma
In the United States, cholangiocarcinoma, or bile duct cancer, is relatively rare, although its incidence is growing for reasons experts have yet to identify. Because of its rarity, research into it has been scarce. But a Mount Sinai researcher ...
Adding Immunotherapy to Chemotherapy Regimen Improves Survival in Metastatic Bladder Cancer Patients
A clinical trial co-led by Mount Sinai researchers is the first to show that using chemotherapy with immunotherapy resulted in improved survival in patients with an advanced type of bladder cancer.
NIH Awards Mount Sinai Researchers $12 Million to Personalize Sickle Cell Treatment
The Mount Sinai Health System has received a $12,180,625 grant from the National Heart, Lung and Blood Institute to compare new treatment options for sickle cell disease and determine which work best for specific patients.
Miriam Merad, MD, PhD, an esteemed immunologist at the Icahn School of Medicine at Mount Sinai, has been elected to the National Academy of Medicine (NAM) in recognition of her pioneering contributions to the fields of immunology and cell biology.
In a phase 2 clinical trial that was the first of its kind, doctors found that some patients could be treated with a combination of chemotherapy and immunotherapy without the need to remove their bladder.
Diabetes May Accelerate Blood Cancer Growth, Yet Survival Outcomes Differ by Race
A first-of-its-kind study unveils how diabetes drives multiple myeloma growth and differences in survival outcomes for Black versus white patients with both conditions
Leading Transformative Change in Graft-Versus-Host Disease Research
Graft-versus-host disease is a complication of stem cell or bone marrow transplantation with few treatment options. But Mount Sinai researchers have been working on the problem for decades, bringing innovations to the field.
Envisioning a New Landscape of Liver Treatment for Patients With Disabilities
A standard precision treatment for liver tumors hits a roadblock when a deaf patient is unable to receive verbal instructions during the procedure.
Using a novel proteogenomic strategy and a variety of machine learning tools, investigators from the Icahn School of Medicine at Mount Sinai and colleagues have identified a 64-protein signature that may predict a subset of ovarian cancer ...
Learn more about advances in Nuclear Medicine and hear the amazing story of a patient treated at Mount Sinai’s Tisch Cancer Center.
Mount Sinai Acute GVHD International Consortium (MAGIC)
The Mount Sinai Acute GVHD International Consortium comprising 25 BMT centers uses pioneering proteomic techniques to identify and validate biomarkers for skin, gut, and steroid-resistant GVHD.
Tremendous progress has been made in improved survival and quality of life for multiple myeloma patients. Continued advancements in effective treatment options has changed the outlook for patients and physicians.
The Mount Sinai Health System’s esophagectomy program has received a three-star (excellent performance) overall composite score from the Society of Thoracic Surgeons (STS).
Immunotherapy After Surgery Provides Significant, Durable Benefit for High-Risk Bladder Patients
Immunotherapy after surgery increased bladder cancer patients’ chance of staying cancer-free compared to patients who received a placebo, according to clinical trial results shared in a late-breaking oral presentation at the American Society ...
Nina Bhardwaj, MD, PhD, was honored with the 2022 ESMO Award for Immuno-Oncology from the European Society for Medical Oncology in recognition of her outstanding contributions to cancer immunology research.
Clinical Trials for Challenging Cancer Cases at The Tisch Cancer Institute at Mount Sinai
The Tisch Cancer Institute (TCI) offers a robust portfolio of clinical trials that span multiple cancers.
TCI Pioneers in Targeted Protein Degradation For Cancers Considered Undruggable
Jian Jin, PhD, continues to push frontiers in oncology research at The Tisch Cancer Institute (TCI), with his latest discoveries including advances in protein degradation in breast cancer and leukemia.
Latest Study on World Trade Center Cancer Suggests Epigenetic Changes in Prostate Tissue
The World Trade Center (WTC) Health Program at Mount Sinai has characterized differences in prostate cancer risk between that of responders to the attack and that of the general public.
Immunoediting Allows for Long-Term Survival Of Pancreatic Cancer Patients
A recent study in pancreatic cancer provided evidence for immunoediting in human cancers, opening up the potential for cancer vaccines that could improve survival and outcomes.
Making Investigative Inroads Against One of the Most Elusive Forms of Cancer
Understanding of a rare bile duct cancer enters a new era as Mount Sinai researchers delve into its tumor microenvironment and progression.
A Colorful New Approach to Identifying Regulators of the Tumor Microenvironment
Traditionally, identifying the genetic components of a tumor microenvironment had been laborious and time-consuming.
Tisch Cancer Institute: New Faculty Spotlight
The Tisch Cancer Institute continues to benefit from the addition of topflight investigators to its diverse research team from medical centers and laboratories around the world.
TCI Programs Take Cancer Care and Research to a New Era
The Tisch Cancer Institute (TCI) is undertaking the herculean task of speeding up the time it takes for experimental therapeutics to reach patients.
Researchers Discover a Mutated Gene That Triggers More Aggressive Melanoma
The effects of ARID2 gene mutations are being explored for the first time in advanced melanoma, which not only sheds light on how those tumor cells become more aggressive, but also opens doors to better treatment and prevention strategies in the future.
Breaking New Ground With Blood Cancers Through the Lens of Splicing Factor Mutations
Recent work with induced pluripotent stem cells has helped uncover complex mechanisms in myelodysplastic syndrome and acute myeloid leukemia for the first time. This discovery could pave the way for improving current treatments, or even for finding new ones.
The Tisch Cancer Institute Specialty Report 2023
At The Tisch Cancer Institute, we are investigating the complexities of cancer biology and behavior with the goal of improving the lives of those affected by cancer and minimizing its power.
Mount Sinai Researcher Receives Prestigious Award From the Asbestos Disease Awareness Organization
Andrea Wolf, MD, Director of the New York Mesothelioma Program at the Mount Sinai Health System, has received the prestigious 2022 Irving J. Selikoff Lifetime Achievement Award from the Asbestos Disease Awareness Organization.
Ropeginterferon (BESREMI) for Polycytheia Vera
John Mascarenhas, MD, discusses findings from the ECLIPSE study.
The therapy, known as a bispecific antibody, binds to both T cells and multiple myeloma cells and directs the T cells—white blood cells that can be enlisted to fight off diseases—to kill multiple myeloma cells.
Update on TAILORx from Mount Sinai’s Dr. Joseph Sparano
Dr. Joseph Sparano, 2024 OncLive Giant of Oncology in Breast Cancer, presents update on results from the TAILORx breast cancer trial at San Antonio Breast Cancer Symposium 2022
Lung Cancer Screening Dramatically Increases Long-term Survival Rate
The results show that patients diagnosed with lung cancer at an early stage via CT screening have a 20-year survival rate of 80 percent.
Modifications to Ivor Lewis Esophagectomy Improve Outcomes
Raja M. Flores, MD, and Brian Housman, MD, have pioneered major modifications to the Ivor Lewis esophagectomy that make it less invasive and enable patients to recover more quickly.
Mount Sinai’s Thomas Marron, MD, PhD, discusses patient response to vaccine that combines local low-dose radiation;
Mount Sinai Children’s Brain and Spinal Tumor Center: A Race to Cure Childhood Brain Cancer
Three leaders in childhood brain cancer awarded a series of generous grants for research.
Mount Sinai Study Identifies New Gene That Drives Colon Cancer
Researchers at Mount Sinai’s Tisch Cancer Institute have identified a new gene that is essential to colon cancer growth and found that inflammation in the external environment around the tumor can contribute to the growth of tumor cells.
For the first time, scientists have identified a type of cancer cell in triple negative breast tumors, which is highly efficient in invading and colonizing distant organs but slow their growth upon colonization.
Mount Sinai study could lead to ongoing health monitoring of astronauts to assess possible health risks and prevent disease progression.
Mount Sinai Awarded Three-Year Grant to Explore Therapeutic Approaches to KRAS Mutant Lung Tumors
Mount Sinai is leading a team of lung cancer researchers that has been awarded a three-year, $500,000 grant from Stand Up To Cancer® (SU2C) to explore therapeutic approaches to lung tumors with mutations in the KRAS gene, an undertaking ...
Mount Sinai Cardio-Oncology Program Receives Highest Designation for Excellence
The Cardio-Oncology Program at The Mount Sinai Hospital, under the directorship of Gagan Sahni, MD, has been awarded Gold Center of Excellence status. This is the highest designation of certification from the International Cardio-Oncology ...
Institutional Perspective in Cancer – GI: Chaired by Deirdre Cohen, MD
This session on cancers of the GI tract, hosted by OncLive, provides an update on how Mount Sinai is treating patients with the most current therapies
Mount Sinai researchers have validated for the first time that a simple blood test called a liquid biopsy could be a better predictor of whether cancer immunotherapy will be successful for a patient with lung cancer than an invasive tumor biopsy procedure.
Immunotherapy After Bladder Cancer Surgery Shows Excellent Cancer-free Survival Rates
Immunotherapy after surgery helped reduce cancer recurrence in patients with urothelial cancer of the bladder or other sites in the urinary tract that had invaded the muscle...
Mount Sinai researchers have discovered a previously unknown mechanism in which not-yet-malignant cells from early breast cancer tumors travel to other organs and, eventually, “turn on” and become metastatic breast cancer.
Improvement in spleen and symptom burden with fedratinib therapy for patients with myelofibrosis
Mount Sinai Receives Grant to Enhance Patient-Centric, Team-Based Pancreatic Cancer Care
The Canopy Cancer Collective, a national nonprofit organization that strives to fuel better treatments and outcomes for pancreatic cancer patients, has awarded The Tisch Cancer Institute at Mount Sinai a $500,000 grant to support continued ...
Mount Sinai Scientists discover gene mutation that signals aggressive melanoma
Emily Bernstein, PhD, discusses the study discovering gene mutation that signals aggressive melanoma.
A subset of blood cancer patients still remained vulnerable, needing fourth dose or antibody treatments
Lung Scans Reveal Elevated Incidence of Liver Disease Among 9/11 First Responders
World Trade Center (WTC) first responders who underwent low-dose CT (computed tomography) lung screenings were three times more likely to have moderate-to-severe steatosis than others, a result much higher than expected.
Deciphering the Mechanism of Resistance to CDK4/6 Inhibitors in Multiple Tumor Types
Small-molecule inhibitors of the closely related cyclin-dependent kinases 4 and 6 (CDK4/6 is) that have shown success in treating patients with metastatic breast cancer have been only modestly effective against other tumor types.
A Novel Target for Treating Early Stage Lung Cancer
Scientists led by Miriam Merad, MD, PhD, have shown for the first time that specific populations of macrophages promote tumor growth and contribute to immune evasion in early lung cancer lesions.
Identifying Lead Compounds That Effectively Treat Liver Cancer
The search for effective new treatments for liver cancer has led Mount Sinai investigators to highly targeted compound libraries that include kinase inhibitors, histone modifying enzymes, and other small molecules used in combination with ...
Destroying Acute Myeloid Leukemia Cells With a Novel Antibody-Led Regimen
Acute myeloid leukemia manages to cleverly evade the surface markers that the immune system recognizes in order to attack malignant cells.
A Promising Strategy for Preventing Cancer Metastasis and Enhancing Dormancy
A research team at The Tisch Cancer Institute, which focuses on the burgeoning field of cancer dormancy, has identified a promising strategy for preventing metastasis from occurring.
Improving Immunotherapy Outcomes Through "Bystander Killing"
One major limitation of T-cell-based immunotherapies is a phenomenon known as “antigen escape,” which occurs when a subset of cancer cells lose the targeted antigen.
New Approaches to Developing Personalized Cancer Vaccines
Investigators at The Tisch Cancer Institute are developing different types of personalized vaccines, including those that treat cancers with common cell mutations and those combined with checkpoint inhibitors.
Three Compounds Offer Hope in the Battle Against Mantle Cell Lymphoma
Mount Sinai researchers led by Samir Parekh, MD, have found a family of three compounds that fit into a pocket on the SOX11 surface that interfere with DNA binding and block the mechanism by which mantle cell lymphoma develops.
Mount Sinai Gets New Chief of Pediatric Hematology-Oncology
Oren J. Becher, MD, was recently named Chief of the Jack Martin Division of Pediatric Hematology-Oncology, the Steven Ravitch Chair in Pediatric Hematology, and Professor of Pediatrics at the Icahn School of Medicine at Mount Sinai.
An Engineered Molecule, MS21, Slows the Growth of Multiple Tumor Types
Investigators Ramon Parsons, MD, PhD, and Jian Jin, PhD, have engineered a synthetic compound—a small molecule called MS21— that targets the PTEN/AKT pathway, one of the most commonly mutated pathways in human cancers.
The Adjuvant Use of Immunotherapy for Bladder Cancer
The U.S. Food and Drug Administration's recent approval of the adjuvant use of nivolumab for muscle-invasive urothelial carcinoma may set a new standard of care.
Renowned Clinician Researcher Joseph A. Sparano, MD, Joins Mount Sinai
In June 2021, clinician and researcher, Joseph A. Sparano, MD, joined The Tisch Cancer Institute as Deputy Director, where he will continue to lead clinical trials and improve treatments for breast cancer and cancers associated with HIV ...
A Message From Director Ramon Parsons, MD, PhD
We begin 2022 with a look at The Tisch Cancer Institute’s (TCI) latest discoveries by highlighting the work of our dedicated investigators. Their advances will bring our patients better health and longevity.
Gene Signatures May Predict Outcomes Among Similar-Appearing Tumors
Gene signatures derived from lung carcinoma could potentially predict outcomes among individuals with small lung cancers detected by chest CT imaging, when those tumors cannot be distinguished visually as aggressive or indolent.
Building a Hub to Catch Lung Cancer Early
Fewer than 10 percent of potentially eligible patients undergo lung cancer screening, resulting in unnecessary illness and death. The new Chief of Pulmonary, Critical Care and Sleep Medicine at Mount Sinai Morningside wants to change that.
Decline in Lung Cancer Deaths Is Linked to Increased Screening
A recent, substantial decline in lung cancer deaths is associated with earlier diagnosis of lung cancer than in the past, a new study shows.
PD-L1 Expression: Practical Implications in Lung Cancer
Tapping into the predictive capability of PD-L1 expression in Non-Small Cell Lung Cancer
Pursuing Progress, Precision, and Equity in Cancer Care
With a particular focus on breast cancer, Dr. Sparano presents on progress in reducing mortality, advancing precision medicine for improved outcomes, and addressing disparities in care and outcomes.
The Tisch Cancer Institute Specialty Report 2022
We begin 2022 with a look at The Tisch Cancer Institute’s (TCI) latest discoveries. In this report we highlight the work of our dedicated investigators who explore the complexity of cancer formation and metastasis and search for effective ways to stop it.
A recent, substantial decline in lung cancer deaths is associated with earlier diagnosis of lung cancer than in the past, supporting the need for increased use of screening to save lives, according to a Mount Sinai study published in JAMA ...
Lung screening at Mount Sinai leads to early detection of lung cancer in former smoker
Growing up in Austria, Wolfgang Lehner was a heavy, pack-a-day smoker from age 15 to 51. He quit smoking in 2010.
Pancreatic Cancer: Current Challenges and Future Directions
Dr. Cohen describes current challenges in the treatment of pancreatic cancer and provides evidence for emerging treatment paradigms
Researchers Identify New Drug Target for Blood Cancer, Potentially Solid Tumors
Findings are being used to create a clinical trial for patients with myelodysplastic syndrome
Dr. Becher is an expert in brain tumors in children, particularly diffuse intrinsic pontine glioma (DIPG), an incurable pediatric brain cancer. For more than a decade, his research has focused on identifying therapeutic targets to treat DIPG.
Mount Sinai Scientists Show That a Novel Therapy Could Be Effective Against Pediatric Leukemia
Therapy could also fight pancreatic and other cancers, researchers say
Cholangiocarcinoma: Bridging the Gap Between the Clinic and the Laboratory
This presentation highlights the epidemiology and current management of cholangiocarcinoma, as well as future therapeutic approaches
Internationally Renowned Breast Cancer and HIV-Associated Malignancy Expert to Join Mount Sinai
Not Every Patient With HCC is the Same: The Need for More Equitable Liver Cancer Screening
Liver Cancer Screening Guidelines Miss Many Black Patients
Immune cells that normally repair tissues in the body can be fooled by tumors when cancer starts forming in the lungs and instead help the tumor become invasive, according to a surprising discovery reported by Mount Sinai scientists in Nature.
Bladder Cancer Treatment Without Cystectomy
Matthew Galsky, MD, reported at the 2021 ASCO annual meeting that transurethral resection of bladder tumor + gemcitabine, cisplatin, plus nivolumab achieves stringently defined clinical complete response in a large subset of patients with ...
Anti-HER2 Treatments Can Cause Pulmonary Toxicities in HER2+ Breast Cancer
Charles Powell, MD, System Chief for Pulmonary, Critical Care and Sleep Medicine at the Icahn School of Medicine and CEO of the Mount Sinai-National Jewish Health Respiratory Institute, answers questions regarding anti-HER2 monoclonal ...
Dr. Matthew Galsky and colleagues identify genes associated with resistance to immunotherapy in patients with metastatic urothelial cancer of the bladder
NYEE’s Ocular Oncology Service Expanded Patient Options for Eye Cancer Treatment
The Ocular Oncology Service at NYEE is home to the most advanced forms of eye cancer treatments aimed at preserving life, preserving the eye, and saving sight
A personalized cancer vaccine developed with the help of a Mount Sinai computational platform raised no safety concerns and showed potential benefit in patients with different cancers.
The Tisch Cancer Institute Specialty Report 2021
Message from the Director of The Tisch Cancer Institute
What’s New in Gynecologic Cancer Treatment?
Experts from The Blavatnik Family – Chelsea Medical Center at Mount Sinai discuss the capabilities and interdisciplinary approach at the Center
Deirdre J. Cohen, MD, MS, an expert in pancreatic and other gastrointestinal cancers, has joined Mount Sinai Health System as Director of the Gastrointestinal Oncology Program
The Tisch Cancer Institute Earns Second Consecutive Designation From National Cancer Institute
The Tisch Cancer Institute at Mount Sinai has been awarded $13 million as part of the renewal of its National Cancer Institute Cancer Center Designation
The results of this Phase 1 study support the use of rigosertib in combination with azacitidine in patients with myelodysplastic syndromes or acute myeloid leukemia
Telemedicine As An Option for Cancer Treatment
Benjamin J. Golas, MD, Chief of Surgical Oncology, discusses the role of telemedicine in treating cancer patients.
Safety Protocols In The Department of Surgery
Benjamin J. Golas, MD, Chief of Surgical Oncology, reviews the practices in place to ensure patient safety.
Should Patients Wait To Receive Cancer Treatment?
Benjamin J. Golas, MD, discusses why patients shouldn’t wait to seek treatment for cancer during the COVID-19 pandemic.
Can Patients Receive Cancer Surgery in the COVID-19 Era?
With the approval of New York State, surgeries have recommenced. Benjamin J. Golas, MD, discusses the special precautions for cancer patients scheduled for surgery.
Liver Lessons and Liquid Biopsies
Augusto Rodriguez, MD, PhD, discusses a novel technology to detect liver cancer—liquid biopsy—as well as an overview of liver cancer’s causes, diagnosis, and treatment.
2020 Specialty Report: The Tisch Cancer Institute
Learn about the groundbreaking work conducted at The Tisch Cancer Institute at Mount Sinai.
COVID-19: Impact on Melanoma Patients
What melanoma patients can expect from their telemedicine appointment during COVID-19.
Treating Myeloma During the COVID-19 Crisis
Joshua Richter, MD, provides guidance on multiple myeloma treatment during COVID-19.
Cancer Prevention and Control: HPV, Oropharyngeal Cancer, and Cervical Cancer
Gain insights on the latest research and treatment strategies.
COVID-19 and What Multiple Myeloma Patients Need to Know
Treating Multiple Myeloma in the Midst of COVID-19
Is the Gleason Grading Still Relevant With Respect to Outcome?
Gleason grading system is important prognostic factor for prostate cancer.
Mapping the future of Hemopoietic Cell Transplants: MAGIC Biomarkers
A simple blood test can predict outcomes after hematopoietic cell transplants
Are we Ready to De-escalate Treatment of HPV+ Head & Neck Cancer?
Changing paradigms for treating HPV+ head & neck cancer
Lewis R. Silverman, MD: An Overview of Myelodysplastic Syndrome and Personalized Therapies
Lewis R. Silverman, MD, one of the foremost researchers in myelodysplastic syndrome, shares insights into the disease as well as the current state of research.
Miriam Merad, MD, PhD, Advocates for the Immuno-Genomics Classification of Cancer
Dr. Merad discusses how our ability to identify the genomic variation of primary tumors can lead to novel combination therapies.
Augusto Villanueva, MD, PhD, Discusses New Therapies and Challenges in Liver Cancer
From Harlem to Mongolia, Dr. Villanueva reviews global trends in liver cancer and new therapies available.
Latest Treatment Options From the Dubin Breast Center
A multidisciplinary team provides the latest treatment options for breast cancer
Dr. William Oh discusses treatment strategies for Metastatic Hormone-Sensitive Prostate Cancer
Metastatic hormone-sensitive prostate cancer (mHSPC) is deadly, with a reported median survival of less than 5 years. Historically, androgen deprivation therapy (ADT) has been the standard of care. The development of new therapeutic options, ...
Genomic Landscape of Lung Adenocarcinoma
Cancer biology determines the heterogeneity of lung cancer
Luis M. Isola, MD, discusses fighting hematological cancers
A profile of Luis M. Isola, MD, Director of Cancer Clinical Programs, Mount Sinai Health System
Steven J. Burakoff, MD, looks to the future of cancer care
A profile of Steven J. Burakoff, MD, Dean for Cancer Innovation at the Icahn School of Medicine at Mount Sinai and Chief of Pediatric Oncology at the Mount Sinai Health System
Ramon Parsons, MD, PhD, explains PTEN and cancer
A Department of Medicine Grand Rounds presented by Ramon Parsons, MD, PhD, Director, The Tisch Cancer Institute, and Chair of Oncological Sciences at the Icahn School of Medicine at Mount Sinai
Cancer Immunotherapy: In Search of the Other “C” Word (Cure) for Cancer Patients
Moving Cancer Immunotherapy Forward
Lung Cancer Screening: Translating Science Into Improved Patient Outcomes
Evidence supports lung cancer screening
Breaking Down the Barriers: Disparities in Colorectal Cancer Screening in African Americans
African Americans experience low rates of colorectal cancer screening
