When Halting Myelofibrosis Progression Fails, Try Changing Its Course Instead
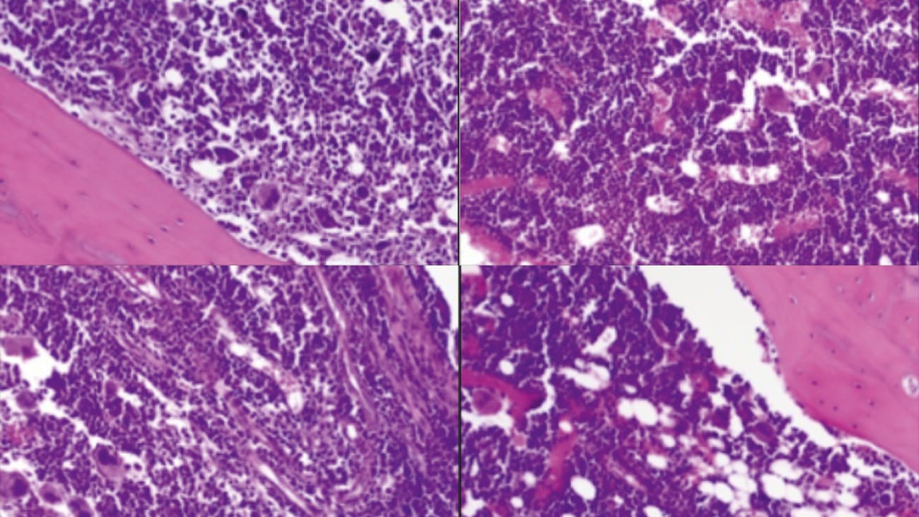
The decades-long research efforts of a consortium, led by Mount Sinai researchers, to deplete myelofibrosis stem cells altogether—instead of merely stopping proliferation—has received renewed funding. This will spur the novel strategy even closer into becoming available in the clinic, along with deepening understanding of the cancer.
