During this 20-25 minute pre-recorded lecture, Dr. Noam Harpaz discusses the topic of lower GI pathology. This in-depth review will provide an update on this topic for your clinical practice as well as supplement your learning for the ABIM Gastroenterology and Hepatology boards. CME pre-requiste of live Q & A webinar, 8th Annual Mount Sinai Intensive Board Review in Gastroenterology & Hepatology on Oct 6.
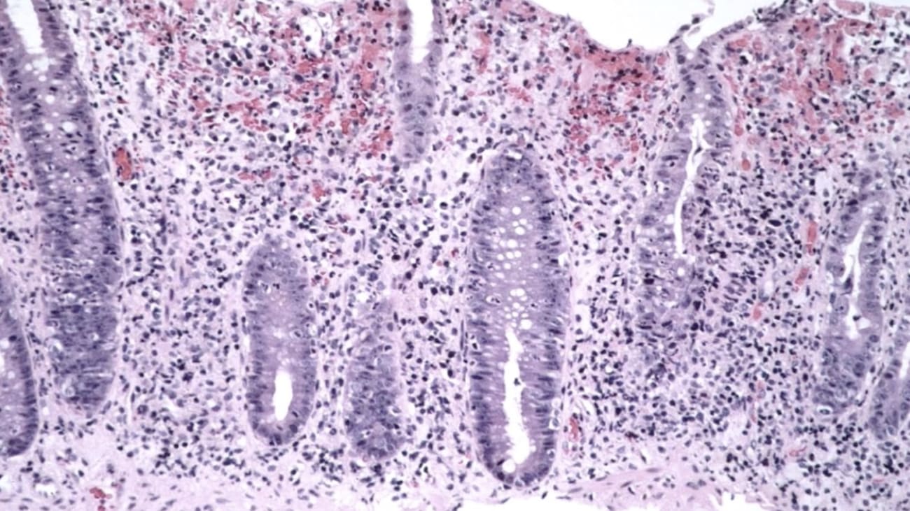
Hi I'm Noam Harpaz, director of gastrointestinal pathology at the Icahn School of Medicine at Mount Sinai. During the session, we're going to review several important topics and lower gi tract pathology Question one A 50 year old hypertensive woman, six months status, post renal transplant was experiencing a recent onset abdominal pain and blood per rectum. And ask optically. She was found to have segmental Hiroshima in the descending colon question which of the following biopsy images is the best match. You will be shown five images and asked to select the best match. Following that we will review each of the images in detail. Hey b see the or e. Okay. Make your choice choice A. Was normal colonic mucosa. It consists of parallel tubular crips which aligned by abundant goblet cells and the lamb inappropriate. That is. The space between the crips contains sparse inflammatory spells, most of which are near the surface. Choice B represents an example of acute infectious or self limited colitis. The mucosa consists of uniform parallel crypts which extend from the surface to the base. They are lined by epithelial cells with reduced numbers of goblet cells and there is a dense inflammatory infiltrate consisting of neutrophils which involved both the lamb inappropriate and the crypt epithelium. Choice C is an example of chronic inflammatory bowel disease which could be either all sort of colitis or Crohn's disease. The crips are distorted. That is their non parallel. They vary in size and distribution and they do not extend to the base of the mucosa, which is referred to as crypt shortfall. The space between the crips that is the lamb inappropriate, is packed with mono nuclear cells, mainly lymphocytes and plasma cells. In a few years, cinephiles at higher magnification, one can see a relatively distinctive feature of chronic inflammatory bowel disease, which is that the neutrophils appear to be selectively located within the crypt epithelium and very few of them are found in the surrounding lamb inappropriate choice. D. Is an example of acute ischemic colitis compared to the normal mucosa at the right. The mucosa on the left is relatively thin. The surface epithelium is absent. The lamb inappropriate is pink, which is a result of leakage of proteins from damaged blood vessels into the surrounding tissue. They're crips are relatively narrow and they taper towards the surface and goblet cells are nearly absent. In addition to acute ischemic colitis, a similar picture can be seen in patients who are taking any Nsaids or patients who have Sterkel ulcers where there is pressure. Ischemia on the mucosa choice E is an example of microfinance lit associated colitis which would have been a reasonable clinical consideration given the patient's history of renal transplantation. Histological we this colitis can mimic other types of colitis such as G. V. H. D. Infection, IBD or ischemia as a result of clinical history may be necessary for a specific pathologic diagnosis to be made. Nonetheless, there are histological features that may suggest the diagnosis on the left. Once he's a crypt containing multiple apathetic bodies which are aggregates of nuclear debris within the kunar spaces resulting from epithelial degeneration on the right among the larger crips. Once these small eastern affiliate crips without goblet cells, highlighted by the arrows, which are referred to as isolated damaged crips or withered crypts which are in a state of regeneration, rejects the position of relatively normal and severely damaged or regenerative crips is typically seen as a result of toxic mucosal injury. Presumably you recognize the endoscopic image as being that of acute ischemic colitis characterized by ulceration and dusky color of the surrounding mucosa. As a result, the correct answer to this question was D Question two refers to a 55 year old woman with a two month history of non bloody diarrhea and cramps. On colonscopy examination because it was entirely normal. Take a moment to study this slide and formulate a diagnosis regarding this entity, which of the following statements is false. Hey, the incidents in Western countries is nearly as high as that of IBD. Be abnormal endoscopic examinations. Maker and up to 20% of patients see this condition is associated with autoimmune diseases. D It is associated with an acute onset of Diarrhea in about 25% patients. And E it's an adverse risk factor for developing colorectal cancer based on the information provided the correct diagnosis is collagen is colitis collagen is colitis is associated with near normal crypt architecture that is parallel crips, increased lymphocytes and plasma cells in the lamb inappropriate and a college and band, which is the colonized band marked by the blue arrow, which extends beneath the surface epithelium confirmation of the diagnosis is performed with special stains that resolve the underlying mesh like or basket weave pattern of collagen fibers consisting of types one and three collagen uh and which are at least 10 microns in thickness. Another feature of collagen is colitis, seen in about half of cases is the presence of intra epithelial lymphocytes corresponding to the small dark nuclei highlighted here as to the answers to the questions. The first involves the incidents in Western countries. Once collagen is colitis became an established clinical entity in the 19 nineties, along with another form of microscopic colitis known as lymphocytic colitis, they were recognized to account collectively for about 20% of cases of non bloody diarrhea and even higher percentages in the elderly with rates of 10 to 20 per 100,000, approximating the incidence of IBD has shown on the left draft of Crohn's disease. While collagen is colitis is classically associated with a normal kaleidoscopic examination, About 20% of patients will have a variety of abnormalities, which includes linear mucosal tears and scars as she in here an altered vascular pattern. There are thema erosions and even pseudo membranes. Patients with collagen is colitis frequently have other autoimmune diseases. As shown here. 9 to 20% have thyroid itis 5 to 10% with diabetes, approximately 9% with celiac disease. Uh and one sees the rest of the list. In this case control study referred to below the odds ratio of Autoimmune disease. In patients with collisions, colitis was 11. Collagen is colitis is also associated with use of a variety of drugs. As listed here. The most common symptoms of collagen is colitis or diarrhea, abdominal pain and weight loss, which usually have an insidious onset. However, as shown in this study, Approximately 25% of patients will report a sudden onset of these symptoms. Finally, in contrast with chronic IBD collagen, is colliders carries no excess risk of colorectal adenoma or cancer or even a reduced risk. Therefore the correct answer to question #2 is e The false statement is that collagen escalate. This is a risk factor for colorectal cancer. Question number three pertains to a 45 year old woman with an ascending colon tumor. She had no siblings and her father died of bladder cancer. A biopsy of the tumor disclosed invasive colonic adenocarcinoma. She underwent a right handed, collected me, Which disclosed a stage two PT 3 and zero adenocarcinoma of nuisance type. This shows a microscopic view of her tumor, One sees a carcinoma with a solid pattern on the right side and um using this pattern on the left side in which malignant cells are floating in pools of music work up of the resect the tumor included immuno stains for DNA mismatch repair proteins. Uh And here you see two results which show retention of M. L. H. One expression and loss of M. S. H. Two expression. Question three, What is the most important next step in this patient's management? One chemotherapy to genetic counseling for possible lynch syndrome. Three annual kaleidoscopic surveillance. Four completion of the collector me five mammography, an important feature of colorectal and other cancers is their DNA mismatch repair status. Approximately 85% of colorectal cancers have a proficient mismatch repair system which is depicted here. The purpose of this system is detect and repair mismatches between pairs of nucleotides that occur randomly during DNA replication. The key elements of this system are a set of four proteins which form hetero timers that bind to DNA. When there is a mismatch between between the nucleotides on opposite strands of the DNA. These proteins are M. L. H one PMS two, which is one pair, M. S. H, 20. And M. S. H six, Which is the other pair. When pair wise mismatches or small insertions and deletions are detected. This complex is able to excise the erroneous quince and replace it with the correct sequence has shown on the left side. Approximately 15% of colorectal cancers have deficiency in the mismatch repair system. This generally results from an alteration in one of the four DNA mismatch repair proteins has shown here, which causes them to fail to. Um hydro hydro dime arise in response to the mismatch, which is present as a result. The complex does not function and the error is maintained through successive cycles of DNA replication are resulting in dramatic amplification of these areas and accumulation of additional errors on the one can see an electromagnetic separation of a sequence of nucleotides in which the normal tissue on the right shows a defined number of bands, whereas the tumor tissue on the left shows a larger number of bands reflecting different numbers of insertions. Deletions. The accumulation of mutations results in impairment of various cancer suppressor genes, which can lead to the rapid development of cancers. The specific defect that results in mismatch repair deficiency can be either a germline mutation or an epigenetic alteration, One of the DNA mismatch repair proteins. When a germline mutation is responsible, this gives rise to what we refer to as lynch syndrome. However, alterations of M. L. H one circle here uh may occur in an epigenetic fashion, which does not involve any journal mutation. Thus shin. Thus, lynch syndrome can involve germline mutations of any of these four proteins, whereas epigenetic alterations affect only ML H one strands, regardless whether the mismatch repair deficiency is caused by a germline mutation or an epigenetic alteration. The significance of mismatch repair deficiency is important clinically and it's expressed as follows. First of all these tumors tend to have lower rates of lymph node metastases. They have a higher stage adjusted survival than match tumors. They may be resistant to standard forms of chemotherapy uh particularly those containing five floor year or so. They were associated with a higher risk of synchronous metallic rennes and interval colorectal cancers. And of course they're a potential marker of lynch syndrome which can have important implications both for the patient and the patient's family. Although final determination as to whether a tumor is mismatch repair deficient is generally done through various molecular methods or immune is the chemistry. The histology of tumors often provides a clue to the presence of mismatch repair deficiency. Among the features that suggest mismatch repair deficiency are poorly differentiated carcinomas, musicians carcinomas and you'll recognize the that this tumor is the same one that was part of this case. A second feature is the presence of lymphocytes within the tumor itself, So called intradermal lymphocytes. And these are highlighted with the C. D. Three unionist and that highlights the lymphocytes. And finally there may be a perry to moral inflammatory reaction that very much resembles Crohn's disease, although it has nothing to do with Crohn's disease but instead represents an immune reaction to the tumor. The most widely used method to determine mismatch repair proficiency is immuno standing for the four proteins depicted here. M. L. H. One, M. S. H. Two, M. S. H. Six and PMS two when the nuclei stained brown that indicates that the protein is properly expressed. Now we recall that this patients tumor showed a loss of M. S. H. Two expression. The positive staining that one sees around the tumor is that of lymphocytes and other inflammatory cells which themselves do contain DNA mismatch repair genes. Now since M. S. H. Two is one of those genes uh that would not be altered by an epigenetic mechanisms but mainly by germline mutations. Then does that mean that this patient has lynch syndrome? The 15% of mismatch repair deficient colorectal cancers can be broken down into three categories on the lower right. One sees a group of the approximately 10-12% of the cancers forming the largest group. These are sporadic mismatch repair deficient tumors. The patients do not have germline mutations and instead the mismatch repair deficiency is a result of epigenetic methylation of the M. L. H. One promoter ah And these patients tend to be older and female and they may have an increased risk of synchronous and meticulous colorectal cancers. On the lower left we have another group, the lynch syndrome group in which there are germline mutations of one of the mismatch repair genes. And it could be any one of the four ml H. One M. S. H. Two, M. S. H. six p.m. S. Two and there's another gene which is adjacent to the M. S. H. Two locus which can also be infected patients with the syndrome tend to be younger. There is a more equal female to male distribution. Of course they have a very high rate of synchronous and asynchronous colorectal cancers and other cancers. And there may be a very strong family history. In the lower center is a third group which is referred to as lynch like syndrome. These are individuals who do not have an identified germline mutation of mismatch repair genes. They do tend to be younger female, similar to mail, increased risk of synchronous and meticulous colorectal cancers and other cancers, although somewhat less than lynch syndrome and a strong family history. But the nature of the molecular modification is uncertain, determining whether this patient has lynch syndrome or lynch like syndrome would require sequencing of the M. S. H. Two gene which is generally done in the course of genetic counseling. Returning to our question, what is the most important next step in this patient's management? The first choice was chemotherapy. Well, that's not indicated for a stage to colorectal cancer. Especially when with mismatch repair deficiency which is generally considered to have a more favorable prognosis. Second choice was genetic counseling. This would involve number one genetic confirmation as to whether the patient has a true lynch syndrome versus a lynch like syndrome and what mutation is present. This would have obvious implication uh implications for the family members. Um This would also permit it targeted clinical screening of the patient for tumors located in other organ systems. Both gi tract urinary tract G. Y. N. Etcetera. Patients with lynch syndrome have privacy and legal issues that need to be addressed. And of course the family members may need screening as well. The third choice was endoscopic surveillance. While this patient probably would have surveillance of the remainder of the colon and other GI organs. However, that's of secondary importance to genetic counseling. The fourth choice was completion of the Collector me. Uh Well, it's been shown that endoscopic surveillance of the colon is adequate and does not necessitate completion of the collect A ME in a scenario like this. Finally is mammography. Uh There is a questionable association of breast cancer with Lynn syndrome, although it has not been established at this point. Nonetheless, it's also of secondary importance to genetic counseling. Thus the correct answer to this question was be referral for genetic counseling.