During this 20-25 minute pre-recorded lecture, Dr. Joseph A. Odin discusses the topic of autoimmune hepatitis. This in-depth review will provide an update on this topic for your clinical practice as well as supplement your learning for the ABIM Gastroenterology and Hepatology boards. CME pre-requiste of live Q & A webinar, 8th Annual Mount Sinai Intensive Board Review in Gastroenterology & Hepatology on Oct 13.
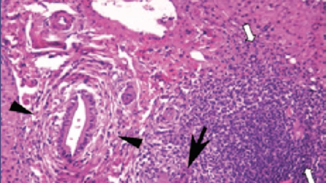
I'm joseph Oden. This lecture will focus on auto immune and metabolic liver disease. I'll be using a case based approach to illustrate key points for these diseases. The first case involves a 29 year old man who was noted to have abnormal LFTs after attempting to donate blood. He has no history of joined us or liver diseases. He has no history of alcohol abuse, intravenous drug use, tattoos nor any new medications supplements or herbal product use in the past six months. He works full time as a police officer and his family history is significant for hypertension and heart disease. On review of systems he complained only a fatigue and irritability over the past two months on exam he was thin had an IQ Terex Clara and the rest of the exam was basically normal without any evidence of chronic liver disease. He was noted to have a resting tremor. He has mild normal civic anemia and a platelet count of 110,000 L. T. And S. T. R. S. 1662 and 2198 respectively. The elk fasts was in the low side. About 58. Total Billy Rubin and direct Billy Rubin were 2.1 and 0.7 respectively and the cholesterol and triglyceride levels were normal. To further work up this gentleman's abnormal LFTs. An abdominal ultrasound was done which showed a mildly shrunken liver no state, Asus no gall stones and no biliary abnormalities and the spleen was unremarkable. Additionally the chest X ray and E. K. G are both un remarkable. The hepatitis A antibiotic level was negative. Hepatitis B. Service antibiotic level was positive. His surface androgen was negative. Hepatitis C. Antibody was also negative. The auto antibody tigers showed an A. An A. 1 to 40 anti smooth muscle antibody of 1 to 40 and the I. G. Level was only slightly above normal. The serum iron profile showed an iron level of 145 with a transparent saturation of 44% and the fertile level was high at 455. The surreal A plasma level was low at 12 and the LFO one anti trips in phenotype was MZ. So that's a lot of information to digest. But the first question obviously is what diagnostic test would be most useful in this case to confirm your suspected diagnosis. First choice is anti liver kidney Microsoft. Will antibody testing. Second choices, 80 p. seven b. genotyping question C. Is urinary copper tests. Question answer. D. Is hft genotyping and answer E. Z. Alpha one anti trips in Syrian serum enzyme activity level. I'll give you a few seconds to ponder your possible choices before discussing what would be the best answer. Okay. Mhm. For this question, the best answer would be C. Urinary copper tests, irritability. The Palestinian. The injury analysis low surreal A. Plasm and low Auckland facilities levels are all consistent with wilson disease. A genetic disorder of copper metabolism with elevated urinary copper secretion answer A. Could be considered anti L. Km antibody testing since autoimmune hepatitis is part of the differential in this case. Our anti L KM only rules out Type two autoimmune hepatitis, which is rare and more common in women, Children, and Europeans. APATPS seven B genotyping is really only useful in Wilson disease. When there's a relative with a known mutation, it's a very large jean with lots of possible mutations. HIV genotyping, it's not useful in this case. The patient did have an elevated ferreting level, but that by itself does not suggest to hereditary hemochromatosis and for 10 is an acute phase protein as you know, that can be elevated in many conditions. AlFA one anti trips and serum enzyme activity levels are not really predictive of liver disease. The ALPHA one anti trips and fema type is the better choice when you're trying to rule out liver disease from this deficiency. The MZ hetero zygote phenotype does not typically cause liver disease. The three most common causes of metabolic liver disease and adults are hereditary hemochromatosis. Wilson disease and ALPHA one anti trips and efficiency. The respect of genes involved are HFEATP 70 and serpent a one and both men and women are affected hemochromatosis may have a later onset in women than men hemochromatosis results in total body iron overload, which primarily affects the liver heart, pancreas, pituitary, thyroid skin and testes wilson disease or WD is characterized by inappropriate copper metabolism with deposition in the liver and brain with neuropsychiatric symptoms. Wilson disease and all for one anti trips in deficiency may present in childhood and may present with acute liver failure enough for one anti trips and efficiency. The lungs are affected due to decrease to parasites secretion of alpha one anti trips in And the liver is affected by accumulation of mutant alpha one anti trips in within the parasites. Thus Hamas, Vegas no mutations and serpent A one because only emphysema and do not affect the liver. Wilson's disease should always be considered in a patient under 40 years of age who presents with unexplained liver neurological or neurosurgical theatric disease, That's clinical spectrum ranges from asymptomatic academy glee or minor liver enzyme derangement to something as severe as fulminate liver failure with neuropsychiatric symptoms. Uh, Wilson's disease is often misdiagnosed as autoimmune, hepatitis uncle and fastest levels may be relatively low in Wilson disease. The presence of lows rule and plasm levels increase urine copper excretion and Kaiser fleischer rings help in the diagnosis of Wilson disease. If clinical and biochemical tests are inconclusive. Then confirmation can be done by quantification of copper in the liver. Every a liver biopsy or by molecular techniques like capital type or mutation analysis. Often on a board exam, you might be presented with a picture of somebody with Kaiser fleischer rings. The presence of Kayser fleischer rings is indicative of neurologic involvement but may not be present in all cases of a paddock involvement For hereditary hemochromatosis, the prevalence of Hamas, atticus mutations in the c. Y position is 1, 270 and two thirds will have elevated ferreting levels, but only 10% will actually have clinically significant. Iron overload The H 63 d. Hamas it gets rarely have iron overload screening the entire population for hereditary hemochromatosis is not recommended, but first degree relatives of hereditary hemochromatosis. Pro bands should be screened. The onset of iron overload in hereditary hemochromatosis is later in menstruating women than men in hereditary hemochromatosis. The affected organs include the heart, liver pancreas, skin, pituitary thyroid joints and testes as mentioned before. Iron overload may be present in a patient with an elevated for written and a normal transparent saturation, particularly in nine hft related iron overload or in a C. To 82 Y. H 63 D. Compound hetero saga. When making a diagnosis of hereditary hemochromatosis. Both transparent saturation and for certain levels should be obtained if either is abnormal Transparent saturation greater than 45% or 14 level above the upper limit of normal than HIV mutation analysis should be performed liver biopsy is recommended to stage the degree of liver disease in C. 2 82. Why Hamas. Egas or compound hetero hetero cigarettes. If trans emanates these are elevated or if the Sheraton level is greater than 1000 pearls prussian blue staining and measurement of a paddock iron content are helpful, especially in non Hft iron overload. If a spirit in serum ferreting level is less than 1000. Then in the liver biopsy probably is not needed. Since there's unlikely to be cirrhosis present. Empathic iron content determined by liver biopsy does correlate well with those estimated by MRI some of the classic findings in hereditary hemochromatosis. Our bronze skin as shown in the figure on the left muscle and histology. The pearls prussian blue stain can be used to show iron Granules within the parasites in secondary hemochromatosis. The iron standing is typically found in cup for cells and not in the parasites for one and two trips and efficiency should be suspected in any person who presents with unexplained liver or respiratory symptoms in Children liver disease associated with ALPHA one anti trips and efficiency presents with new NATO Cali static jaundice, abnormal LFTs, hepatitis or even cirrhosis. Adults typically present in the third or fourth decade of life with chronic hepatitis, cirrhosis or liver cancer. Non specific increases in billy Rubin, S. T and LT are observed. The gold standard for diagnosis is ALPHA one anti trips and phenotype determination by serum protein, ice electric focusing only one in five individuals. Hamas, IKEA's for the Z leo will develop liver disease. The mm phenotype is normal as mentioned before. Uh measurement of serum alpha one anti trips and activity is not diagnosis. Sorry, it's not diagnostic since alpha 1 80 is an acute phase protein. A liver biopsy. Make sure the presence of periodic acid Schiff positive. Global's the photo here shows a periodic acid Schiff stain. The parasite inclusions are made of MS faulted α one Anti trips and proteins those homes I guess for no if you want to into trips and mutations will not have inclusions nor will they have liver disease. These are the patients that have purely lung disease. Lastly, autoimmune hepatitis is an uncommon form of hepatitis that typically presents in younger women and is characterized by fatigue as well as elevated trans AM in aces G levels and A. And A. And alpha smooth muscle tigers A. And S. M. A. R. Not specific for autoimmune hepatitis and can commonly be seen in many other liver diseases as well as non liver conditions. Anti soluble liver antigen auto antibodies are directed against Tr nays these less common auto antibodies are highly disease specific for severe forms of Type one autoimmune hepatitis, Type two autoimmune hepatitis with anti L. Km antibiotic positivity is seen more often in Children women, Europeans and in autoimmune polly endocrine apathy. Candidacies active dermal dystrophy or A P. E. C. E. D. The cause of autoimmune hepatitis that is unknown but unlikely involves but likely involves exposure to a triggering agent example would be how fame in genetically susceptible individuals. The presentation of autoimmune hepatitis is highly variable. Many patients present with non specific symptoms such as fatigue along with elevated S. T. And LT levels. However, 10% of patients present with symptoms of acute liver failure and 10-20% will present with cirrhosis. 80% of affected individuals are female and all races are represented. 50% of autoimmune hepatitis patients do have some other autoimmune disease as well, such as autoimmune thyroid disease or rheumatoid arthritis like viral hepatitis, the A. S. T. And A. T. L. T levels may be in the thousands. Liver biopsy collects classically shows interface hepatitis with sheets of plasma cells and lobular necro inflammatory activity. A validated scoring system by the international Auto Immune Hepatology group is available for diagnosis of questionable cases but most territories treatment if uncertain. This slide shows the scoring system that's been developed that includes both clinical features as well as laboratory data and histology as well. And at the bottom you'll see that also responds to treatment is also a factor used in the diagnosis of ordering hepatitis since most patients do respond to steroid treatment. Okay, let's turn our attention towards treatment modalities in the case that we presented earlier, the suspected diagnosis was confirmed. What treatment should be initiated next A is ALPHA one antitrust enzyme replacement therapy. B zinc therapy. See predniSONE therapy. D. penicillin. Mean therapy and E therapeutic for lobotomy. The best answer to this question would be D. penicillin. Mean therapy which is useful in symptomatic wilson disease and acts by calculating serum copper A. is a obvious treatment for Alpha one anti trips and disease. The zinc therapy is useful in asymptomatic wilson disease. By reducing copper uptake in the intestines. predniSONE therapy has not been shown to be useful in Wilson disease, but as useful in autoimmune hepatitis. As we mentioned, therapeutic for lobotomy effectively reduces subotic iron stores over time. But this is not an effective treatment in Wilson disease. Initiating Wilson disease treatment can be somewhat complex and in some cases can actually precipitate liver failure. So I would recommend referring the patient to a liver transplant center for initiation of treatment and then have the patient return for follow up maintenance treatment. A conservative treatment for patients can just be dietary modification and the use of antioxidants such as vitamin E. Medical treatment with key leaders, non coagulating agents and combination therapy can be useful. Most common treatment for symptomatic patients as mentioned before as penicillin mean, and it should be done with a low dose initially and slowly titrate up to a higher dose uh supplemental paradox scene is necessary when treating somebody with penicillin. Mean, newer agent is trance scene which may be somewhat more effective than penicillin mean and can be used in those who are refractory to penicillin mean, but it is also considered the first line treatment for Wilson disease. The ammonium tetra thio Malibu is really preferred for those with predominantly neurological symptoms for those with a symptomatic disease and those requiring maintenance therapy. Zinc therapy is quite useful since it blocks copper absorption from the intestine. And you can check the efficacy of treatment by checking on urinary copper levels. A combination therapy can be used as an emergency treatment for those with copper overload informant liver failure, dialysis. Human filtration and plasmapheresis can be last ditch attempts to try and keep these patients from needing a liver transplant for hereditary hemochromatosis, therapeutic for lobotomy is the recommended treatment. One unit the blood contains approximately 200 to 250 mg of iron depending on the hemoglobin concentration and should be removed once or twice per week as tolerated initially until the Farrington level drops below 100 micrograms per liter. The frequency of maintenance flow, body fat, body ME is variable. You can use parental iron population in non HIV hemochromatosis and X rayed and orally administered iron key later has been approved for treatment of secondary iron overload due to ineffective Northrop oasis supplemental vitamin C should be avoided in iron loaded patients. Regression of cirrhosis is not observed with the Bottom ME, but other conditions related to human comatose. IsSE do improve The treatment of over 1 80 deficiency for those with liver involvement is somewhat different For those who just have lung involvement, smoking cessation may be helpful for both lung disease and liver disease as well as avoiding environmental and occupational pollutants as best you can for the lungs vaccination for influenza and pneumococcal pneumonia is beneficial for those with liver disease. Vaccination against hepatitis A and B. Is recommended for those with liver disease Required liver transplantation. The five year survival rate is over 90%. Mhm. Combination treatment with glucocorticoids plus is a thigh A print Is traditionally used for autoimmune hepatitis. Over 90% of patients respond to this treatment. TPM T activity should be checked prior to addition of as a thigh print. Trans am in is in I. G. Levels are used to guide therapy but may not correlate with the degree of hepatic inflammation seen by liver biopsy. The goal of therapy is to normalize trans emanates and big levels. Five per scan may be helpful in monitoring therapy response, especially in those with normal adult and S levels before withdrawing therapy. After two plus years of normal enzyme levels, A liver biopsy is recommended. 50% of patients unfortunately have a recurrence within five years. Recurrence is treated the same way as the initial episode. However, lifelong treatment with as a fire print or low dose pregnant zone or buddhist need is recommended. 20% of those who recur to progress to cirrhosis and the presence of anti act and positive antibiotics correlates with a poor prognosis and death. Let's see if we have time to go through a second case. A 42 year old african american, woman with a history of thyroid disease, develops fatigue over two months. Blood tests reveal abnormal LFTs. She has no significant alcohol or family history nor any new medications or HDs used in the past six months on exam. Her square are an esoteric. Her lungs are clear and a heart has a regular rhythm. Her abdominal exam is benign and she has no stigma of chronic liver disease. The cbc and platelet counter normal as well as the TSH 18 A str significantly elevated alkaline phosphate level is also somewhat elevated. Total bilirubin, indirect billy Rubin are mildly elevated as well. Uh huh. Hepatitis virus ideologies are negative except for a positive core antibody I. G. M. For hepatitis B. Her I. G level is high and her in a tighter is 123 20 with an anti smooth muscle antibiotic tighter up 1 80 mm. Her iron level is normal. Her transparent saturation is 35% or ferreting is 1200 and their survival a plasma in is normal at 25 her of a one anti trips and prototype is mm with normal serum activity. An ultrasound did not show any abnormalities. So what liver biopsy finding would support the lengthy diagnosis? A A floor duck lesion be granulomas in the liver C interface. Hepatitis with plasma cells. The positive copper staining E onion, skin fibrosis and by all dot loss. Okay, if you're thinking that this is a probable case of autoimmune hepatitis then C. Is the right answer interface. Hepatitis with plasma cells is a characteristic finding of autoimmune. Hepatitis Floor Duck lesion is typically seen in primary biliary cirrhosis or cholangitis. As we say. Now granulomas can be found in PBC sarcoidosis, crones or a number of other conditions positive copper staining would support a diagnosis of wilson disease that can also be seen in chronic hoist Asus under skin fibrosis and bob black gloss is characteristic of primary or secondary sclerosing cholangitis. This case does meet the criteria for probable on immune hepatitis using the simplified autoimmune hepatitis scoring system. If the histology turns out to be compatible, this would make it a definite autoimmune hepatitis case. Of course. In regular practice, most people do not rely on the scoring system. Here's a copy of the biopsy. You can see the arrow is pointing to the portal tracked as well as to the area with suggestions of interface hepatitis based on the liver biopsy. What additional tests might you order anti Okay, m antibodies I am a antibodies, anti smooth muscle antibodies, anti soluble liver androgen antibodies or P anCA antibodies. Uh actually there's two answers which would be correct here. One would be be anti mitochondrial antibodies because the floor duck lesion was shown on the biopsy and also there is under skin fibrosis shown in a second bile duct seen in the portal track, which is consistent with PSC and the atypical perry nuclear anti neutrophils. Cytoplasmic antibodies are consistent with PSC. This is not uncommon to see overlap between autoimmune liver diseases. Occasionally it's overlap between autoimmune hepatitis and PVC has suggested in this case or between autoimmune hepatitis and PSC. Over between PBC and PSC is rare. There is a difference between the sex ratios for autoimmune hepatitis and PBC versus PSC. With more of a male predominance in PSC. Than seen in autoimmune hepatitis or PBC in the age of diagnosis is somewhat different for the three diseases. The immune target is also different where don't even hepatitis is more a pad of cellular and PBC and PSC or more cola static. And this is reflected in the enzyme elevations Seen in the three different diseases in the auto antibodies predominantly seeing the three diseases are different. You can see And a positivity and all three diseases. And there are reports of up to maybe 5% of patients with autoimmune hepatitis having positive Emma. Mhm. So when you're trying to make a diagnosis of overlap, you really do have to rely on histology and not go just by antibiotics, ideologies or biochemical findings. Yeah. And you can see the white arrows show you an area of interface hepatitis. The large arrowhead shows you an area of a florida, duck lesion and the two smaller arrows identify an area with onion skin fibrosis typical of PSC. In this case the Obama did come back positive? The P. AnCA was negative and M. R. C. P. Was normal. What treatment regimen would you? A ploy in this case predniSONE and a supply print if your destination and he's a fire. Print. Our zodiacs, E. Coli predniSONE is a thigh print and or so. Dioxin call it Or there's a vaccine collate and six MP. So the best answer would be D. predniSONE is a tire print. Anderson taxi. Cool it Bds and I could be substituted for pregnant zone if desired. Destiny. It is useful in that it limits side effects that are seen with systemic glucocorticoids such as predniSONE or brightness alone. Happy Destiny should not be used in patients with cirrhosis. However, and studies have shown that it's best to add as a fire prin within four weeks of starting pregnant zone for autoimmune hepatitis. This patient's S and at all levels did not decrease on appropriate therapy. What would you do next? A checker, serum apple and anti trips in level B. Question her alcohol use C. Review treatment, compliance and use of herbal and dietary supplements. D repeated a liver biopsy. E initiate second line therapy for autoimmune hepatitis. The best answer is C review treatment compliance and use of herbal and dietary supplements. Many patients because of side effects will self stop steroid treatment. Also uneven hepatitis can be mimicked by urban dietary supplement news and some herbal and dietary supplements will actually induce an autoimmune Hepatitis C genotype in this case she confirmed compliance and denied any HDs use the business is necessitated starting her on alternative therapy. Mhm. One of the options and alternative therapy is to substitute micro family for Elizabeth. I print the only time that you would not want to substitute michael Fennell. It is if the patient was pregnant or intended to become pregnant in the near future. There aren't any other approved salvage therapies for patients with autoimmune hepatitis increasingly technology messes being used as a substitute for patients that don't respond to predniSONE is a thigh print. There have also been other smaller studies looking at cyclosporin, rapper masonry talks a map or even on flex a map for treatment of refractory or immune hepatitis. There are special populations that should be considered when treating patients with autoimmune hepatitis uh during pregnancy it's safe to continue using predniSONE as well as a this is a tire print uh d compensated cirrhosis and from liver failure to to order. And hepatitis is another special population to consider use of high dose immunosuppressive medications and these groups may actually increase the risk of life threatening infections and should be avoided in Children ordering hepatitis and PSC overlap is very common. All Children with the diagnosis of autoimmune hepatitis should be screened for PSC as well. After a liver transplant. You can have a recurrence of autoimmune hepatitis interestingly. You can also see this de novo autoimmune hepatitis or plasma cell hepatitis developing patients that were transplanted for other liver diseases as well. The treatment is actually very similar to treatment pre liver transplant using predniSONE as the mainstay of therapy. obviously one should do a liver biopsy to rule out rejection as the cause of the elevated liver numbers. There are specific dose recommendations for the treatment of autoimmune hepatitis. However, one can customize therapy based on the severity of the initial presentation. There are many potential pitfalls and common errors associated with the diagnosis of autoimmune hepatitis. Differentiating drug or toxin induced hepatitis from autoimmune hepatitis can be difficult, especially without a careful history. The new checkpoint inhibitors for cancer therapy induces steroid responsive hepatitis that does not have the characteristic histology and auto antibodies associated with autoimmune hepatitis, no positive area and then die smooth muscle antibiotics are closely associated with autoimmune hepatitis. They can also frequently be seen in other liver diseases, including non alcoholic fatty liver disease. Given how common non alcoholic fatty liver disease is. It's not surprising that you do see overlap cases between natural tea and autoimmune hepatitis and those diagnosed with PBC or PBC, a diagnosis of autoimmune hepatitis requires histological changes. He noted on liver biopsy along with the characteristics neurological abnormalities. Also in most cases the L. T. S. T levels should be at least five times the upper limit of normal. Lastly, in those presenting with cirrhosis, the diagnosis of autoimmune hepatitis may be missed because of absent hepatic inflammation on the liver biopsy is known as burnt out autoimmune hepatitis. Okay, this is the final slide here are some take home points. There aren't likely to be more than two cases of autoimmune hepatitis on a board exam. If a second autoimmune hepatitis case pops up, it's probably an overlap case with PBC or PSC. Or perhaps drug induced autoimmune liver disease or post transplant plasma cell hepatitis. And remember that in a positivity and elevated IgG levels are very non specific. No more than one case of hereditary hemochromatosis. Wilson's disease or alpha one Anti trips and deficiency are likely to show up on any exam. Typically, they'll show the characteristic histology for one of these diseases. For a liver disease case with neurological symptoms. Consider not only Wilson disease but also poor furious or familial amyloidosis. Piling neuropathy, which are less common genetic metabolic diseases that can also be occurred by the liver transplantation. Okay, that's a lot of information. Here's an additional question. Just to see who was paying attention for which therapy should supplemental vitamin B6B given A level one anti trips and enzyme replacement therapy. B zinc therapy, See predniSONE therapy, D. penicillin. Mean, therapy for e therapeutics, lobotomy. The correct answer for this question is deep penicillin therapy. penicillin. Mean binds both copper and vitamin B6, which increases their urinary excretion. Therefore, Vitamin B6 replacement therapy is required when given penicillin. Mean