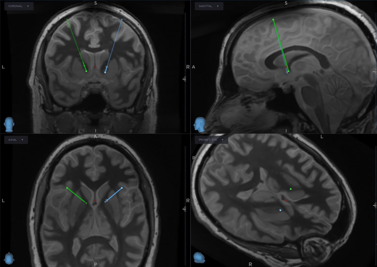
Deep Brain Stimulation (DBS) for Obsessive-Compulsive Disorder (OCD)
A 40-year old male presents with treatment-resistant OCD to Mount Sinai. His symptoms began as tics in childhood, which progressed into fears of self-harm and harming others, and, later, compulsive urges to poke his eyes. He would spend hours consumed with intrusive thoughts to neutralize these urges. In such severe cases, surgical neuromodulation is considered.
